Uterine Film

What is a Uterine Film?
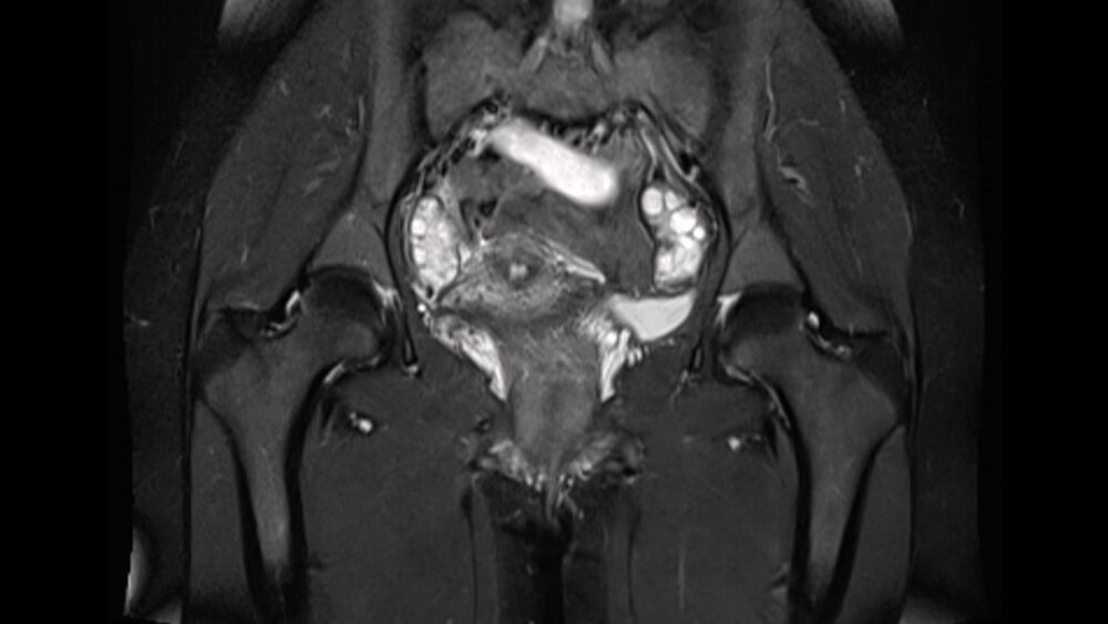
Uterine Film is the shots that help in imaging the uterine cavity in order to diagnose obstruction, stenosis, width or other problems of the uterine tubes. The uterine tubes may become blocked due to various reasons or may bring other problems.
In order to diagnose this problem, it is absolutely necessary to seek help from specialist physicians. The solution of problems that may be seen from birth or later is provided. It is also known as HSG by another name. When the film is to be shot, the drug is injected into the uterus.
It helps to have more information about the uterus and uterine tubes when performing imaging procedures of the lower abdomen. If the tubes that help the egg and sperm meet are open, it allows the baby to complete 9 months in the womb. If the tubes are closed or narrow, the pregnancy realization rate is quite low. That is why, together with the uterine film that will be made, it helps to have more information about this topic.
It is absolutely necessary to wait for the end of menstruation for the procedure. This condition may vary between Dec 3-4 days. With the performed shooting, short-term pains appear. The resulting pains differ according to the patient’s condition and are not the same in every patient.
Some contractions may occur during the procedure along with the medication given into the uterus. Painkillers can be taken half an hour before the procedure to prevent cramps and contractions that will be observed during the procedure. This situation should take place under the control of specialist physicians.
How Is the Uterine Film Made?
For the imaging process, a concentrated substance is used to provide an image to the device. It allows the intrauterine and uterine tubes to become more visible with the fluid to be given from the cervix. It is not possible for the liquid being used to harm the person or for any complications to occur later.
Because there is iodine salt in the liquid. Thanks to this iodine, it takes on the task of keeping X-rays in an eclipsable state. Since the liquid has no smell, it is not possible for a situation to occur that will disturb the person. It is not caustic and is colorless. The liquid has no such condition as damage to organs or tissues. In this way, an image is taken from inside the uterus with uterine tubes.
The substance introduced into the cervix is given by pressure. It undertakes its therapeutic duty in cleaning the mucus-like style obstructive structures that can be seen in the tubes. The duration of the procedure varies between Dec 15-20 minutes.
There is no situation that will prevent or disturb the social activities of the patients after the procedure. Bleeding caused by leaks, which can only be seen at a very slight level after the uterine film is removed, may be observed. This also appears to be considered a normal situation.
Why Is a Uterine Film Required?
Closed tube problems are among the problems that are seen in women and that they often encounter. Decongestant tube problems. If the tubes are closed, they are usually faced with conditions such as infertility, cancer, miscarriage risk. In order for the problems occurring in the uterus to be detectable, the intrauterine film must be taken. Thanks to this film, more information is gained and studies are started for the right treatment.
Especially the infertility condition of women can be seen here. If the tubes are closed or problematic, there is no pregnancy condition. Some women voluntarily provide for the closure of the uterine tubes. In some cases, the uterine tubes may be closed at birth. A uterine film is taken to detect this condition, which reduces the likelihood of conception. Together with the treatment to be applied, it will enable expectant mothers to become pregnant.
Things to Know After Uterine Film
There are things that need to be known and paid attention to with the realization of the shooting film. A sanitary napkin is used to drain the drug back into the uterus. Slight pains may appear within a few hours after the examination. Other complications that may be observed are slight bleeding with spotting.
There are no restrictions after the movie, as long as there are no recommendations of doctors. The patient can then resume his normal daily life from where he left off. If anesthesia has been applied, care is taken not to drive a vehicle at all.
In case of performing tasks that require attention, it is necessary to get help. After the procedure, the patient is recommended to use antibiotics on the recommendation of a doctor. Infections that seem to be very rare may be exposed with the film taken.
It is unlikely that very frequent and severe pain will occur after the procedure. At the same time, the occurrence of fever is also low. But in case of an unexpected situation, it is recommended to consult a doctor without wasting time.
How to Pull the Uterus Without Pain?
In order to obtain clearer images and for the correct treatment to take place, medication is sent to the uterine cavity. It is not a condition that the drug will harm the person or cause him to be affected badly. Help is taken from thin bangs or a probe made of soft matter or plastics. The uterine film to be removed should be taken in the appropriate pose.
For this, it is possible to perform the operation in two different ways. It is performed by holding and pulling the uterus together with the hook and ensuring that the appropriate pose is given. Or by bringing it to the uterus with the C-arm machine, the correct angle should be adjusted. Then the procedure is performed without the need to push and pull the uterus.
How Long Does The Uterine Film Take?
The patient must be lying on the X-ray table for the procedure. He needs to lie down here and pull his legs towards himself. The specialist receives help from the speculum during the gynecological examination of the doctor. The examination is carried out with this instrument and sent into the vagina. The cervix and vagina need to be cleaned with a solution.
Then, with the help of a tool, the cervix is affected. In order for the procedure to take place correctly, the uterus must be in a straight position. Medication is given through a thin catheter placed in the cervix. Thanks to this drug, the image becomes clearer. The processing time varies approximately between 5-10 minutes. Decontamination time varies between 5-10 minutes.
When Is the Uterine Film Taken?
A uterine film is taken to examine the internal structure of the uterus and the condition of the tubes. The operation will be performed safely and in a short time. Although unprotected intercourse is entered into under normal circumstances, women may not be able to conceive.
For this, as a result of the examinations for women, the interventions necessary for the correct treatment are carried out. IVF treatment can be started for women who cannot conceive. It is of great importance to have information about the cervix and tubes for this treatment. It is possible to start IVF treatment together with the film taken.
Is a Medicated Uterine Film a Painful Procedure?
The HSG shooting procedure to be performed may make the patient nervous. But it should be known that the pains are not severe enough to be seen at long-term and serious levels. Contractions or cramps may occur in the patient due to the medication administered into the uterus. In order to prevent such problems, painkillers can be given under the control of a specialist physician.
Together with the medication given half an hour before the procedure, it will help relieve pain. The resulting pains may vary from patient to patient. We cannot say that the pain is not at a serious level and that it is unbearably painful. It is impossible to give exact information about the percentage of this that the procedure will pass painlessly or painlessly. If you prefer us as Safir Lab, you can get more detailed information.
What are the Advantages of Uterine Film?
In order for the appropriate treatment methods to be realized for the patients who are faced with the problem of infertility, it is necessary to perform the procedure under the supervision of a specialist physician. It is possible to examine the functional and structural features in the uterus. It is appropriate that the procedure to be performed must be performed after the end of menstruation.
Because during the menstrual period, blood flow occurs in the uterus and tubes during the procedures performed. In this case, the imaging operations are not fully performed. In order to have more information about the infertility problem, blocked tubes or closed tubes, uterine film shooting is performed.
It may not be possible to diagnose the damage caused to the internal organs of the body by physical examination. Therefore, with the help of imaging techniques, the problem is solved. Thus, as a result of the help received from the imaging technique, the appropriate treatment for the infertility problem is started.
Are There Any Disadvantages of Having a Uterine Film Taken?
The complications seen in the imaging procedures performed vary from person to person. The side effects observed are not serious and damaged. In order for the extraction process to take place, a liquid substance is sent into the uterus.
This liquid substance does not harm a person. Because it contains concentrated substances and iodine. If the patient has an allergy to iodine, some side effects are observed during filming. Mild convulsions and allergic conditions are observed. These side effects that occur are at a fairly low rate. It is impossible to say that there are any disadvantages other than this.
Does the Uterine Film Open the Adhesions in the Uterus?
It ensures that menstrual irregularity, infertility, continuous miscarriage events, myoma, tube condition and many conditions related to the uterus can be detected. In order to obtain better quality images before the procedure, fluid is injected into the uterus. In this way, the HSG film is used to remove the adhesion that occurs in the uterus.
With the presence of iodine in the substance of the liquid supplied to the uterus, it plays a role in opening the adhesion in the uterus. Thanks to this drug, the blocked tubes are provided for uterine adhesion and sterilization of the inside of the uterus. It also plays a role in increasing the chance of conception after the procedure.
Thus, it is the pregnancy diagnosis that is needed in the treatment of infertility problems seen in some women. As Safir Lab, we always take care to do better in order for the service we provide to be of better quality and safe.
Will It Open the Blockages?
Problems such as infertility and cancer are revealed due to problems that occur in the uterus and tubes. It is possible that this problem will be noticed in a short time. Although unprotected sexual intercourse is performed, it is not possible to get pregnant. Realizing that the problems are revealed, women find the breath in the hospital.
The diagnosis and treatment performed under the control of a specialist physician are performed. It is possible that the tubes here are clogged. The blocked tubes may be pre-existing, or the tubes of those who do not want to get pregnant will be closed. Conception is not possible due to the resulting blockages.
Laparoscopy should be given to understand that the tubes are blocked. It is possible to understand that both tubes are blocked. It is possible to open the blocked tubes. But the operation must have been performed in a way that is appropriate under the supervision of a specialist physician.
Womb Film Prices 2025
Pricing information is one of the curious topics. But exact information cannot be obtained due to the fact that it constantly varies and different price lists have been formed everywhere. Pricing information is determined in such a way that it depends on various reasons.
The place where the procedure will be performed, the health workers, the equipment and devices used, the quality of the institution is taken into account. In this way, it helps to differentiate the pricing information according to the location. It is useful to do a good research before performing your transactions.
As a result of the research carried out, information should be obtained by contacting the institutions that are safe. In case you prefer us as Safir Lab, it is important that you contact us from the contact information. Thus, you can have up-to-date price information of uterine film. You can contact us immediately to get information about uterine film prices 2025.