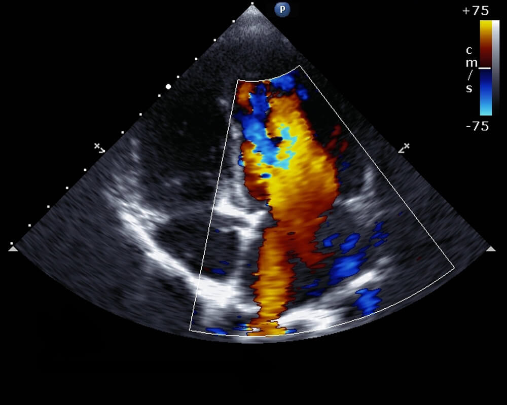
Color Doppler

What is Color Doppler?
Color Doppler is the most advanced ultrasound device that needs to be applied in order to monitor the blood flow in the vessels. Color ultrasound imaging monitors the blood flow in the veins, while at the same time, if there is any narrowing in the veins, it is also useful to investigate the causes. Color imaging, which is often used during pregnancy, can also provide safe imaging in all body parts such as legs, arms, brain, liver.
We provide services with the most advanced devices for color doppler in our Safir laboratory center. We have a specialist physician staff working with a system where results can be obtained in a short time. We provide comfortable areas to our patients in a friendly way. While providing a quality service, we prioritize the satisfaction of our patients.
Thanks to the use of high-frequency sound waves, the blood flow in the blood vessels and all the problems in the vessels can be easily seen. Because it is a radiation-free application, it is one of the imaging systems that is preferred safely, especially during pregnancy.
Color doppler ultrasound, which is a radiological method, is useful for measuring, evaluating and examining the speed of blood in an organ or vessels. This system, where the clearest images can be taken in a short time, is often used to monitor the baby’s health, especially during pregnancy periods, because it is safe.
In contrast to the black and white image of the ultrasound, it provides a color and more detailed examination. While it is used safely in all body parts, it also has all the advantages provided by other ultrasound imaging. By providing real-time imaging, it helps to take the images recommended by specialist physicians, especially at certain times of pregnancy periods. It has a great importance in terms of monitoring the baby’s health and development.
How is Color Doppler Taken?
There is no need for any preliminary preparation stage in color ultrasound shots, as in some ultrasound imaging. For some imaging systems, it may be desirable to be hungry and cramped to urinate. In particular, the preliminary preparation stage may be necessary to see the abdominal region more clearly. As a preliminary preparation for the color imaging, it is sufficient for the specialist physicians to request and for the patient to lie down in the area where the imaging will be performed.
Gel is applied to the area for clear images and comfortable movement of the device’s prop head. The images taken from the prop device are projected on the screen as graphics and pictures. Which of the different types of color ultrasound imaging will be used is determined by specialist physicians according to the patient’s condition.
The important thing in color imaging is to apply the right techniques to the right people. In this way, while the clearest images are taken, at the same time, the possibility of early treatment is provided in case of negativity. Making the necessary diagnoses at an early stage also provides benefits for the formation of treatment opportunities.
Why is Color Doppler Ultrasound Performed?
Color doppler ultrasonography systems, which are used to examine diseases and diagnose them at an early stage, are also often preferred during pregnancy periods. It is an imaging system that is useful for monitoring maternal and infant health, tracking development, and making a diagnosis at an early stage.
It has an important place for maternal and infant health, heart rhythm disorders, vascular and blood flow controls, investigation of areas such as the gallbladder and prostate, and control of organs such as the kidneys, spleen and liver.
Color ultrasound imaging is often preferred by specialist physicians in order to diagnose ailments at an early stage and provide treatment opportunities at an early stage. Shots are provided comfortably without the patient experiencing any pain or pain sensations.
Areas of Use of Color Doppler Ultrasonography
Decolorized ultrasound imaging is among the examinations requested by specialist physicians in case of problems in the legs, arms, abdomen or any part of the body, complaints and sensations such as pain.
Color ultrasounds, whose areas of use are quite wide, have different types, and whichever ultrasound imaging is required, it is important for specialist physicians to use this device in order for the results to be accurate. Ultrasound images have a very important place in order to be treated at an early stage and to eliminate the disadvantages.
In general, the use of colored doopler may be requested for the diagnosis and treatment of disorders such as heart and valve diseases, vascular occlusions and vascular narrowing problems, blood flow problems occurring in the veins and diagnosed at an early stage. It is absolutely important that radiology specialists perform the shots in order for the correct shots to be taken and the diagnosis to be made and the treatment to begin at an early stage.
Immediately after the results of the shootings are released, reports are sent to the authorized specialist physician for evaluation. Color shots, which are important in terms of diagnosing many diseases, are important in terms of diagnosing disorders in taking detailed images.
Being able to diagnose health problems at an early stage is important for the early start of treatment, while at the same time it is important for increasing the likelihood of recovery. For this reason, color and other ultrasound examinations are safely recommended to patients. Our patients can have their shots comfortably in our safir laboratory center in a short time. You can safely have all your ultrasound imaging performed by making an appointment at our center.
What Week is the Color Doppler Performed?
Close monitoring of the health of the baby and mother is of great importance in terms of pregnancy. While this imaging is done thanks to the color doopler, it is also an exciting process in which clear images are taken. With this imaging system, where families can see their babies most clearly, the baby’s development is also closely monitored and all details are reported on the examination of specialist physicians with pictures.
Color ultrasound for pregnancy monitoring is generally requested by specialist physicians at certain periods in order to see adequate developments in the vessels. 11-13 and 18-21 of pregnancy. These are the periods when the clearest images can be taken between weeks. Dec. While the most suitable times for doopler shots are in this way, it is necessary to wait for the formation of the baby’s face in order to perform 4-Dimensional imaging.
Thanks to the imaging systems also called detailed ultrasound, it is aimed to take the clearest images in a short time and to determine whether there are any negativities in the development of the baby. All organs and blood vessels of the baby are subjected to a detailed examination in this way.
Pregnancy can be examined in a very detailed way with color imaging. Especially in risky pregnancies, shooting and being in a colorful way is of great importance. Upon examination of the reports by specialist physicians, measures can be taken to progress the pregnancy in a healthy way.
What is Carotid Color Doppler?
The region called the cortis is the name given to the arteries in the neck in medicine. There are vessels that feed the brain and other head structures, and there are two atrial vessels, right and left, in the anterior part of the neck. The examination of these vessels extending to the brain and facial region takes place thanks to carotid color doopler ultrasound imaging.
The stenoses that occur in the veins and the flow rate of blood passing through the veins are performed by ultrasound imaging. Thanks to the imaging systems using color devices, the causes of the problems that occur in the arteries and affect all structures, especially the brain, can be found in a short time.
The carotid vessels that are imaged for examination are first provided with the necessary measurements using black-and-white ultrasound. The thickness of the vessel walls and the conditions such as calcification and irregularity on the inner surface are investigated, and then the blood flow rates are monitored using a colored doopler.
If there is any stenosis in the veins, measurements are made with precision using colored systems and reported upon examination by specialist physicians. The degrees of stenosis occurring in the veins are quite important and can cause vital risks.
For this reason, exact reports should be made for evaluation and, if necessary, the treatment process should start without wasting time.
Color ultrasound imaging is performed with the highest quality devices in our Safir laboratory health center. Our specialist physicians serve our patients by examining the reports of our patients in a very sensitive way and starting the necessary treatment process safely.
What is Scrotal Color Doppler?
A kind of discomfort called varicocele is seen in men in the medical field and this discomfort is generally diagnosed thanks to scrotal color doopler imaging. It is a health problem seen in the veins located in the testicles and the testicular veins are seen in a curved and crooked way. Thanks to scrotal color ultrasound, it is possible to monitor the vessels and the number and width of the vessels can be measured.
Patients are asked to take a deep breath and push during the procedure, and at this time, if varicocele disease has been diagnosed in patients, the testicular veins expand and the current occurs in the opposite direction. The purpose of this ultrasound imaging is to check whether the current in the testicular veins is in the opposite direction and to make a definitive diagnosis of varicocele. In case of diagnosis of discomfort, treatment should be started without wasting time accompanied by a specialist physician.
What is Obstetric Color Doppler?
Mother and baby screening is often required during pregnancy. Ultrasound imaging, which is important for monitoring the baby’s health and for the mother, is called obstetric color ultrasound. Thanks to sound waves, it becomes quite easy to follow the baby’s development. While ideas about the baby’s health can be obtained by taking colorful images, the possibility of intervention occurs in case of any negativity.
The primary purpose of color obstetric ultrasound is to follow the development of the baby. In the later stages of pregnancy, blood flow and circulation are monitored, and it is also possible to monitor the baby’s heartbeat. It is also important for the obstetrician to evaluate the ultrasound images taken under the supervision of a specialist radiologist.
When Will the Color Doppler Result Come Out?
Color ultrasound shots are quite safe procedures due to the absence of radiation emission. Since there is no harm to the baby and maternal health, it can be safely requested by specialist physicians.
Color shots are completed in about 40-45 minutes due to detailed examinations. The lengthening or shortening of the periods varies according to the patient’s condition. For this reason, it is important that patients allow radiology specialists to manage the process without worrying.
During the procedures, the patient does not experience pain or pain sensations. after 40-45 minutes of short shots, the results come out in a short time. The reports of the results obtained are evaluated by radiology specialists upon the examination of specialist physicians.
In case of any failure in the evaluation of specialist physicians after these color shots, October some additional examinations may need to be requested. Specialist physicians may inform patients about this and request preparation for other examinations.
Color Doppler Prices 2025
The execution of color shots in medical institutions working in a professional manner takes place quite sensitively. Ultrasound imaging, in which all ailments and health problems are examined in detail, is also performed in an easy way to monitor pregnancy.
Color shooting is preferred for ultrasound shots and which disease should be diagnosed causes changes in their fees. Factors such as the areas where colored dopes are used, the details of the imaging, the location of the health center cause the fees to make a difference.
It is important to do a good research before deciding on the shootings and to get all the detailed information by making an appointment from the centers. The information of the fees is given according to the patients’ conditions and centers during the appointment. As Safir Laboratory, we offer quality service at the most affordable prices in our center.
Our specialist physicians who are on duty at our center serve our patients in an experienced and experienced manner. It is possible to get high quality color doppler service at the most affordable prices in the best quality way at our center. You can contact us immediately to get information about color doppler prices 2025.